A Common Condition that Can Lead to Infant Brain Damage
Newborn babies may develop a yellowish color in their skin and eyes in their first days and weeks of life. This condition is called jaundice. The substance causing the yellow discoloration is bilirubin.
When red blood cells break down, they produce bilirubin. Normally, the bilirubin travels to the liver, where it is broken down. It then is excreted from the body.
Newborn babies may have trouble getting rid of bilirubin through this process. They may develop “hyperbilirubinemia,” which means the baby’s blood has a high level of bilirubin. Hyperbilirubinemia can be dangerous when it is not treated.
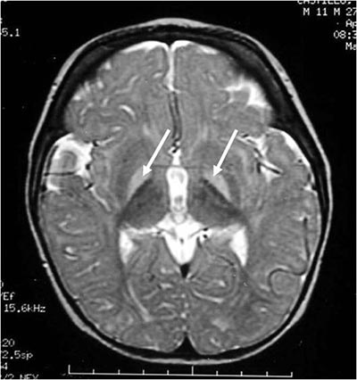
Kernicterus occurs when prolonged high bilirubin levels allow bilirubin to cross the blood-brain barrier. Bilirubin is then deposited into the brain, causing severe brain damage and cerebral palsy.
While discussing a baby’s jaundice, doctors may refer to “unconjugated bilirubin” and “conjugated bilirubin.” The levels of each type of bilirubin in the baby’s blood can indicate the extent of their jaundice.
“Unconjugated” means the liver has not processed the bilirubin into conjugated bilirubin.
“Conjugated” means the liver has turned bilirubin into a water-soluble substance that is ready to be cleared from the body.
Elevated bilirubin levels should concern any medical professional, particularly when caring for a newborn.
The medical professionals caring for a newborn should know if the baby is at risk for hyperbilirubinemia, severe jaundice, and kernicterus. Awareness of certain risk factors could cause closer scrutiny, increased testing, and earlier treatment.
For example, the babies of diabetic mothers are more likely to have jaundice. Also, it is more likely when Rh or ABO incompatibility exists between the mother and infant. Other risk factors include:
Physicians and other healthcare professionals have a duty of care to their patients. In the case of a mother and newborn baby, they must watch for symptoms of jaundice. This is particularly true when the risk factors mentioned above are present.
Doctors perform routine physical examinations of newborns and should notice the yellow discoloration that signals jaundice. It’s crucial to watch for jaundice in order to prevent the development of kernicterus, a more serious condition that causes brain damage. Medical staff should be alert for signs and symptoms of jaundice, especially in the baby’s first 24 hours.
Other tests that help doctors diagnose jaundice include:
Failing to diagnose and treat infants with jaundice can permanently injure the child. It’s also can be medical negligence and medical malpractice.
A baby’s medical team considers several factors when developing a treatment plan, including the baby’s:
After medical professionals carefully assess the baby first, they might begin one of the following treatments:
Doctors and other medical professionals must recognize the signs of jaundice and begin treatment immediately. When they fail to do so, babies could suffer life-altering brain damage.
Jaundice is highly treatable. Most babies with jaundice return to normal blood bilirubin levels within a few weeks.
But uncontrolled hyperbilirubinemia can cause bilirubin to cross the blood-brain barrier. When bilirubin is deposited into the brain, severe, irreversible brain damage can occur. This is called kernicterus.
Children with kernicterus (jaundice-related brain injury) may face:

Once the damage is done, the lives of children and their parents are altered. The child might need medication, therapy, surgery, caregivers, and assistive technology. Medical negligence and malpractice are sometimes the root causes of birth injuries like kernicterus. If you feel your child might be the victim of kernicterus malpractice, please contact our Jaundice Lawyers as soon as possible. We can discuss pursuing compensation that can help pay for your child’s future medical needs.
The parents of children who suffered brain injuries often want answers. They want to know what happened to harm their child’s brain. Was it preventable?
Our dedicated birth injury lawyers want to help you find those answers. We will evaluate all records during the delivery and neonatal care of your child to determine if their jaundice was properly diagnosed and treated.
We diligently investigate the facts and hold responsible parties in a kernicterus lawsuit case by pursuing medical malpractice claims against them. The compensation our clients receive helps them pay for their child’s current and future medical treatment, assistive technology and equipment, and the other expenses associated with caring for a child with brain injuries caused by elevated bilirubin, untreated jaundice, and resulting kernicterus.
Sometimes families are afraid to talk to lawyers about their child’s case. Others may simply feel overwhelmed by their circumstances and unable to participate in a lawsuit involving their child’s birth injury.
The only way to find out if you have a birth injury case is to talk to an attorney who understands birth injury.
At Miller Weisbrod Olesky, a team of committed professionals uses our detailed case review process to assess your potential claim. They start by learning more about you and your child. Then we gather medical records to determine what happened before, during, and after your delivery. We call in skilled medical experts who review your records and let us know if they think medical errors could have caused your child’s injuries.
If we feel medical malpractice was present, we meet with you to discuss how you can receive compensation from the medical professionals who made the errors. At no point in our legal intake process will we ask you to pay anything. The medical review of your case and the consultation are free. We only receive payment when you do.
At Miller Weisbrod Olesky, the attorneys, nurses, and staff understand that parents of children with birth injuries feel overwhelmed. So, every client has the attention and support of a team of trained, compassionate professionals. But we don’t just offer compassion.
We offer a process to help you discover whether your child’s birth injury, HIE, cerebral palsy or brain injury was caused by a medical error.
Call our offices today at 888.987.0005 for experienced assistance in a free consultation.